مئات الإصابات عالميا.. المدير العام لمنظمة الصحة: أغلب حالات جدري القردة ترتبط بعلاقات جنسية بين مثليين
- الجزيرة نت الخميس, 02 يونيو, 2022 - 08:59 صباحاً
مئات الإصابات عالميا.. المدير العام لمنظمة الصحة: أغلب حالات جدري القردة ترتبط بعلاقات جنسية بين مثليين

أكدت منظمة الصحة العالمية الأربعاء رصد أكثر من 550 إصابة مؤكدة بفيروس جدري القرود في 30 دولة لا يتوطن بها المرض، وسط تحذير خبراء في الصحة من أن تفشي أمراض مثل جدري القردة وحمى لاسا أصبح يتكرر بصورة أكثر انتظاما.

 

وقال المدير العام للمنظمة الأممية تيدروس أدهانوم غيبريسوس -في مؤتمر صحفي- إن غالبية الحالات المؤكدة "كانت بين الرجال الذين يمارسون الجنس مع رجال تظهر عليهم أعراض المرض".

 

ووصف الوضع الصحي الحالي بأنه "آخذ في التطور"، مضيفا "نتوقع استمرار اكتشاف المزيد من الحالات".

 

وتابع "التحقيقات جارية، لكن الظهور المفاجئ في العديد من البلدان في نفس الوقت يشير إلى أنه ربما كان هناك انتقال لم يتم اكتشافه لبعض الوقت".

 

وحث غيبريسوس البلدان المتضررة على توسيع نطاق مراقبتها، والبحث على حالات الإصابة ورصدها.

 

وفي وقت سابق اليوم الأربعاء، أعلنت منظمة الصحة العالمية تشخيص أكثر من 1400 حالة إصابة بـ"جدري القرود" في 7 دول أفريقية هي: الكاميرون، وجمهورية أفريقيا الوسطى، والكونغو الديمقراطية، وليبيريا، ونيجيريا، والكونغو، وسيراليون.

 

وأضافت أن الإصابات تضمّ 44 حالة مؤكدة، و1392 حالة اشتباه.

 

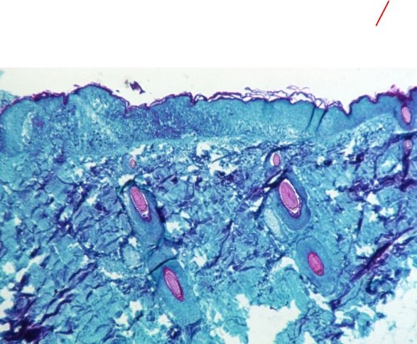
وتظهر أعراض المرض على هيئة حمى وتضخم في الغدد الليمفاوية وآلام في العضلات والتهاب حلق، إضافة إلى الإرهاق والقشعريرة وطفح جلدي يشبه جدري الماء على اليدين والوجه وباطن القدمين والأعضاء التناسلية وغيرها من أجزاء الجسم.

 

واكتشف جدري القرود أول مرة عام 1958، عندما ظهر مرض يشبه الجدري في قرود أحد المختبرات، ومن هنا أُخذت هذه التسمية.

 

عدوى الحيوانات

 

وفي سياق مواز، حذر مدير الطوارئ في منظمة الصحة العالمية مايك رايان -اليوم الأربعاء- من أن تفشي الأمراض المتوطنة مثل جدري القردة وحمى لاسا، أصبح يتكرر بصورة أكثر انتظاما.

 

ونظرا لأن تغير المناخ يساهم في تغير ظروف الطقس بسرعة مثل الجفاف، فإن الحيوانات والبشر يغيرون سلوكهم، بما في ذلك عادات البحث عن الغذاء. وقال رايان إنه نتيجة لذلك فإن أمراض "الهشاشة البيئية" التي تنتشر عادة في الحيوانات تقفز بصورة متزايدة إلى البشر.

 

وتابع "للأسف تتزايد هذه القدرة على تضخيم هذا المرض ونقله داخل مجتمعاتنا، لذا فقد زادت عوامل ظهور المرض وتفشيه".

 

وأضاف رايان أنه -على سبيل المثال- يوجد اتجاه تصاعدي في حالات حمى لاسا، وهو مرض فيروسي حاد ينتشر عن طريق القوارض المتوطنة في أفريقيا.


التعليقات